Para muchos esta reacción puede ser inexplicable, sin embargo para Rachel Palma fue un motivo de alegría
Redacción
BUENOS AIRES, Argentina.- Una mujer de 42 años de Nueva York gritó de alegría y celebró luego que un grupo de médicos descubriera que tenía un gusano viviendo hace más de un año dentro de su cerebro.
Para muchos esta reacción puede ser inexplicable, sin embargo para Rachel Palma fue un motivo de alegría.
La mujer desde julio del 2018 que había comenzado a presentar problemas con sus funciones motoras. Primero comenzó con temblores, empezó a olvidar cosas y botaba recurrentemente platos o tazas, según publica Live Science.
A medida que pasaba el tiempo los problemas aumentaron, ya que comenzó a sufrir alucinaciones, pesadillas “terribles” e insomnio.
“Mis episodios se estaban volviendo cada vez más extraños. Hubo días en los que no sabía dónde estaba. Inicialmente, los médicos no podían ayudarme, incluso después de tomar varias exploraciones de mi cerebro”, contó Rachel a Fox.

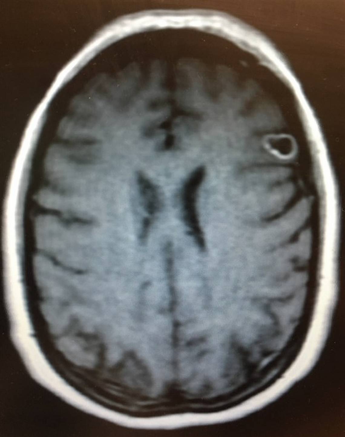
Tras pasar por varios doctores que no sabían lo que le ocurría llegó a un especialista en la clínica Mount Sinai que luego de someterla a una resonancia magnética descubrió que había un bulto en el lóbulo izquierdo, el que fue catalogado inmediatamente como un tumor cerebral.
Producto del diagnóstico Palma fue inmediatamente sometida a una cirugía, pero lo que encontraron los médico no eran lo que esperaban, ya que no se trataba de un tumor, sino que de un pequeño y delgado gusano.
Cuando los doctores le informaron de lo ocurrido Rachel gritó de alegría.
“Dejé de hacer preguntas y comencé a celebrar y aprovechar al máximo la vida porque, en un instante, se puede ir. Pensé que es asqueroso, pero era lo de menos. Me sentí aliviada en ese momento de que no era cáncer y de que no necesitaría ningún tratamiento adicional. No me gusta especular sobre cómo podría haber contraído el gusano porque no lo sé”, explicó.
Lo médicos determinaron que lo que había sufrido la mujer era neurocisticercosis, una enfermedad del sistema nervioso originada por parásitos.
Aún se desconoce cómo Palma contrajo el parásito, ya que éste vive en los intestino de animales como perros o gatos. Sin embargo en el último tiempo se descubrió que pueden ser trasmitidos a humanos por medio del consumo de carne mal cocida o con mala conservación.
Además explicaron que el parásito puede llegar a triplicar su tamaño cuando encuentra un huésped y puede vivir hasta 30 años.
Con información de 24 Horas







