Emanuel tiene 14 años y apenas puede ver, tragar o respirar bien
CNN
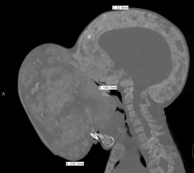
NUEVA YORK.- Un tumor del tamaño de una pelota de rubgy le cubre la cara desde hace más dos años y le obstruye el campo visual, las vías nasales y la boca.
Este adolescente cubano, oriundo de la provincia de Villa Clara, en el centro de la isla, tampoco puede ya caminar, porque el peso del quiste (más de 4,5 kilogramos), le impide mantener en equilibrio la cabeza y los médicos temen que, de seguir creciendo, pueda provocarle una fractura fatal de cuello.
“Este episodio comenzó cuando Emanuel tenía 12 años. Le salió un granito en la nariz. Yo pensaba que era acné juvenil, pero hizo como un giro de irle desviando el tabique a la izquierda y le fue creciendo y creciendo hasta que se le puso así”, cuenta a BBC Mundo Melvis Vizaino, la madre del menor.
Desde entonces, ella y su esposo, Noel Zayas, comenzaron a buscar posibles soluciones médicas en la isla para el problema de su hijo.
No hallaron respuestas.
“Es terrible ver a un hijo deformarse así. Nosotros estábamos desesperados por la impotencia de ver cómo se le estaba poniendo su carita y no poder hacer nada. Recorrimos todos los hospitales de Villa Clara y nada. Nos fuimos para La Habana, recorrimos todos los hospitales, pero nada”, recuerda Zayas.
Un grupo de misioneros estadounidenses que visitó la iglesia evangélica a la que acude la familia, en la que el padre de Emanuel oficia como pastor, les pidió autorización en 2013 para consultar el caso con especialistas de Estados Unidos.

Casi cuatro años después, dieron con el doctor Robert Marx, jefe de cirugía maxilofacial del Sistema de Salud de la Universidad de Miami, que había operado con anterioridad tumores similares.
De hecho, se hizo reconocido en su campo por quitar un quiste de 7 kilogramos a una mujer haitiana y otro de casi 6 a una vietnamita.
Pero hacía más de 10 años que Marx no veía algo así, según contó en entrevista con BBC Mundo.
“Es un caso atípico y lleno de riesgos, pero la operación es necesaria. Si el tumor sigue creciendo, puede terminar de obstruirle la boca, que es ahora la única vía de entrada de alimentos y aire para él. También el tumor, por su peso y tamaño, podría provocar una fractura de médula al nivel del cuello”, explica.
Marx prevé operar a Emanuel el próximo 12 de enero en el Hospital Jackson, de Miami.
Será la primera vez que un tipo de cirugía de este tipo y magnitud se realice a un menor en un hospital de Estados Unidos, según el médico.
LA ODISEA
Noel Zayas explica a BBC Mundo que si bien el tumor ha sido la manifestación más visible de la enfermedad, la larga carrera de hospitales, médicos, consultas y operaciones del menor comenzaron cuando Emanuel solo tenía 2 años.
“A esa edad, el niño sufre una caída. Pensamos que se había dado un golpecito, pero pronto notamos que se quejaba mucho, no podía dormir bien, no quería estar sentado ni acostado de lado. Notamos que le molestaba como para caminar y decidimos llevarlo al médico”, relata.
Tuvieron que acudir a muchos especialistas, recuerda, pero finalmente una reumatóloga detectó que el niño tenía un tumor alojado en la cadera izquierda.

Lo derivaron a un ortopédico, que decidió operarlo para extirpar la tumoración.
“Tomaron la decisión más rápida, la de operar, pero salió mal y la cadera sufrió una malformación y acortaron su pierna 5,5 centímetros. Una piernita se le quedó más pequeña que la otra. Querían volver a llevarlo al salón y operar de nuevo; pero nosotros, como padres, decidimos que no y viajamos a La Habana para consultar a otros médicos”, cuenta Melvis Vizaino.
Allí, de acuerdo con la madre, les dijeron que la operación había sido un procedimiento equivocado.
Finalmente, después de muchas consultas y de varios viajes del centro a la capital de la isla, los especialistas cubanos determinaron la causa de los extraños síntomas que presentaba el niño.




