Tomar bebidas con alcohol en un alto porcentaje produce que nuestros dientes vayan perdiendo propiedades
Redacción
CIUDAD DE MÉXICO.- Una de las costumbres que suelen tener los adultos durante el fin de semana es salir a un bar o restaurante y cenar una comida junto con una bebida alcohólica.
Entre las contra indicaciones que genera el consumo de alcohol se encuentran la afección gradual de las funciones cerebrales, como los procesos de pensamiento y el juicio. Otro malestar que produce es la alteracióndel control motor causando un pérdida del equilibrio.
Recientemente un especialista halló una nueva afección que provoca el exceso de alcohol y que hasta el momento se desconocía. El dentista Christopher Orr, con una experiencia de 23 años dentro del campo de la salud bucal sostiene que este tipo de bebidas dañan a nuestros dientes.
El dentista sostiene que tomar bebidas con alcohol en un alto porcentaje produce que nuestros dientes vayan perdiendo propiedades que ayudan a su sano mantenimiento. Por este motivo advierte sobre ello en este período de fiestas de fin de año en donde el vino o el champagne son algo común.
“La defensa natural del cuerpo es la saliva que protege los dientes, pero (el cuerpo) necesita tiempo para producirla, generalmente alrededor de media hora”, señala Christopher Orr en una entrevista para el diario ingles The Sun.
Este proceso suele verse interrumpido en las cenas de año nuevo en donde las comidas con un alto contenido de calorías en conjunto con el alcohol, llevan a que los alimentos tarden más en digerirse. Otra consecuencia es la aparición de reflujo gástrico que da una sensación de acidez y secades en la boca.
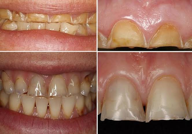
El especialista destacá que estos malestares consecuentes del alcohol ablandan el esmalte de los dientes. Se pierden componentes que son esenciales para tener una salud bucal optima y se aumenta la producción de caries.
El dentista Christopher Orr sostiene que entre las bebidas alcohólicas que más perjudican los dientes se encuentran los tragos mezclados con refrescos, los vinos rosados y los vinos blancos dulces.
Con información de Salud360


